Dank Hochfeld-MRT weniger Biopsien zur Diagnosesicherung
Die Fusion von Ultraschall- und MRT-Bildern für die Biopsie von auffälligen Arealen in der Prostata ist eine Möglichkeit, unnötige Biopsien zu vermeiden. Am Universitätsklinikum Bonn verfolgen Prof. Dr. Winfried Willinek und sein Team jedoch einen anderen Ansatz: Zunächst wird eine diagnostische Hochfeld-MRT an einem komplett digitalen MR-System durchgeführt.


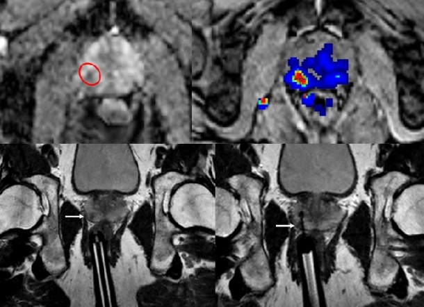
Diese Bilder dienen dann bei auffälligen Befunden als Grundlage (Back-up) für eine stereotaktische, dreidimensionale, MR-gestützte Biopsie. Durch die MR-Kontrolle während der Biopsie kann die Gewebeverformung in der Prostata – im Gegensatz zur Bildfusion – unter Echtzeitbedingungen ermittelt werden. Die Diffusionsbildgebung ermöglicht während der Biopsie die Identifikation potenziell klinisch relevanter Tumoren, da die Veränderung des Gewebes in der Diffusionswichtung mit dem Gleason-Score korreliert. Dieses Vorgehen erlaubt eine äußerst sparsame Gewebsentnahme – oft reicht eine einzige Probenentnahme aus – was das Infektionsrisiko bei transrektalen Biopsien reduziert.
Dreh- und Angelpunkt der Hochfeld-MRT der Prostata ist die multiparametrische Darstellung. „Nur die MRT kann neben der Morphologie auch funktionelle Daten wie Diffusion, Perfusion und Stoffwechsel erfassen. Auf der Grundlage dieser diagnostischen Säulen ist in Anlehnung an die BI-RADS-Klassifikation für die Brust die Klassifikation nach PI-RADS für die Prostata entstanden“, erklärt Willinek. Im Gegensatz zur Brust erfasst PI-RADS jedoch alle Parameter der multiparametrischen Bildgebung. Sie wird bislang vor allem an spezialisierten Zentren vorgehalten, wobei die individuelle Gewichtung der Einzelfaktoren zurzeit noch Gegenstand von Studien ist und in den S3-Leitlinien bisher nicht berücksichtigt wird. Das sollte sich, laut Willinek, schnell ändern: „Das setzt allerdings auch mehr Aktivität der Radiologie und Daten aus prospektiven Studien voraus. Das Prostatakarzinom wird weiter an Bedeutung gewinnen und muss somit deutlicher in den Fokus der Radiologie rücken.“ Aufgrund technischer Limitationen und mangelnder Patientenakzeptanz – vor allem durch den Einsatz von endorektalen Spulen bei der 1,5-Tesla-MRT – war der Gebrauch der Metho- de im klinischen Alltag bisher eingeschränkt. „Die zunehmende Verbreitung der Hochfeld- MRT, die Ergebnisse der multiparametrischen Bildgebung und die Möglichkeit von bildgestützten Biopsie- und neuerdings auch Therapieverfahren (zum Beispiel hochfrequenter, fokussierter Ultraschall, Laser oder auch läsionsbasierte, intensitätsmodulierte Strahlentherapie) sind wesentliche Faktoren für das aktuelle Interesse“, schildert der Bonner Radiologe.
Allerdings plädiert Willinek für die Hochfeld- MRT-gestützte Biopsie vor allem dann, wenn nach vorausgegangenen klassischen Fächerbiopsien unter Ultraschallkontrolle kein Karzinom entdeckt wurde, der PSA-Wert weiter ansteigt und in der diagnostischen MRT ein auffälliges Areal gefunden wurde, um so eine weitere Sektorbiopsie oder häufig sogar Sättigungsbiopsie mit typischerweise zwölf oder mehr Gewebeproben zu vermeiden und gewebesparend zur Diagnose zu kommen.
Da beim Prostatakarzinom die Inzidenz mit zunehmendem Alter steigt, werden in Zukunft mehr Männer ihr Prostatakarzinom auch erleben. Die klinische Evidenz zeigt jedoch, dass nur ein geringer Teil der Erkrankten wirklich am Prostatakarzinom verstirbt. „Es wird daher immer wichtiger, die klinisch signifikanten Karzinome zu entdecken, also die potenziell tödlichen von den weniger aggressiven zu unterscheiden“, so Willinek. Für die Letzteren werden sogenannte Überwachungsstrategien entwickelt (Active Surveillance), um die Veränderung der Erkrankung zu einem klinisch relevanten Karzinom zu erfassen. Erste Ergebnisse zeigen, dass die aktive Überwachung der Patienten mit gesichertem Prostatakarzinom mittels Hochfeld-MRT und gegebenenfalls erneuter gezielter Biopsie sich verändernder Areale mit der Hochfeld-MRT unter Echtzeitkontrolle eine Risikostratifikation der Patienten mit wenigen Biopsien und hoher Diagnosesicherheit erlaubt. Um das in der klinischen Praxis dauerhaft zu etablieren, sind nach Aussage von Willinek aber noch weitere Studien nötig.
IM PROFIL
Prof. Dr. Winfried A. Willinek ist geschäftsführender Oberarzt und stellvertretender Klinikdirektor der Radiologischen Universitätsklinik Bonn. Seine Schwerpunkte sind die kardiovaskuläre Bildgebung, onkologische Diagnostik und Intervention. Nach Promotion, Approbation und der Anerkennung zum Facharzt für Diagnostische Radiologie 2005 wird er in der Radiologischen Klinik von Prof. Dr. H. Schild zum Oberarzt ernannt. Ab 2008 leitete er in dessen Klinik die Funktionseinheit Magnetresonanztomographie und seit 2013 führt er die Funktionseinheit Operative Fächer. 2006 erhält er die venia legendi für Radiologie und 2012 wird er zum außerplanmäßigen Professor ernannt.
29.05.2013



