Artikel • Krebsforschung
Immuntherapie: Neue Waffe gegen Krebs?
Seit längerem wird weltweit in zahlreichen Studien an einer Alternative zur Chemotherapie geforscht. Experten glauben, das Immunsystem als wirksame Waffe gegen Tumore einsetzen zu können. Davon profitieren bereits erste Patienten, wie der Fall Georgios Kessesidis zeigt.
Report: Sascha Keutel
Bei der Immuntherapie geht es darum, einen Tumor mit körpereigenen Kräften zu bekämpfen. Denn schließlich schaffen es Zellen des Immunsystems mühelos, ein transplantiertes Organ abzustoßen. Folglich muss es auch möglich sein, dieses System auf Krebszellen zu programmieren. „Täglich entstehen bei jedem Menschen etwa hundert Tumorzellen, die vom Immunsystem ausgeschaltet werden“, erklärt Professor Dr. Dirk Jäger, Direktor für Medizinische Onkologie am Nationalen Centrum für Tumorerkrankungen in Heidelberg. Doch nur unter bestimmten – ungünstigen – Umständen entsteht eine Krebserkrankung.
Wie gut die Immuntherapie gegen Krebs helfen kann, verdeutlicht das Beispiel von Georgios Kessesidis. Der 27-Jährige leidet an einer sehr aggressiven Form von Lungenkrebs, die „wir normalerweise nur bei über 70-jährigen Rauchern erwarten“, berichtet dessen behandelnder Arzt, Dirk Jäger. Jedoch habe Kessesidis nie geraucht, sondern sich gesund ernährt und viel Sport getrieben.
Mit einem angeschwollenen Lymphknoten und Nachtschweiß fing es an. Der Reutlinger fühlte sich ständig schlapp, ging deswegen immer wieder zu verschiedenen Ärzten. „Die Diagnose war immer Bronchitis oder Asthma, weil ich Heuschnupfen hatte”, so Kessesidis. Monate vergingen bis ein Lungenfacharzt die tatsächliche Ursache der Beschwerden feststellte: Lungenkrebs im Endstadium. „Ich habe alles erwartet an Krankheiten, aber das bestimmt nicht”, erinnert er sich. Die Prognose war sehr schlecht: Stadium vier, der aggressive Tumor hatte längst gestreut – eine Operation schien sinnlos. „Die Diagnose war niederschmetternd“, erinnert sich Kessesidis.
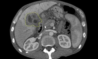
„Inzwischen fühle ich mich richtig gut”, sagt er heute mit strahlendem Gesicht. Das ist eher eine Überraschung, sprach der junge Mann doch erstmal nicht auf die Chemotherapie an. Im Gegenteil: der Tumor wuchs sogar weiter. Wie konnte es zu der Verbesserung kommen? Kessesidis erfuhr von einer klinischen Studie mit Krebspatienten in Heidelberg und meldete sich erfolgreich für die Teilnahme. Seit Juli 2014 erhält er nun alle 14 Tage einen Checkpoint-Inhibitor. „Diese Therapie, dieses Medikament, hat bestimmte Immunzellen aktiviert. Immunzellen, die in der Lage sind, Tumorzellen zu erkennen und abzutöten”, erläutert Studienleiter Jäger.
Erste Therapieerfolge waren schnell zu erkennen: Das Wasser in der Lunge ging zurück, sodass sich die Atmung verbesserte. Der Tumor schrumpfte von etwa faustgroß auf die Größe einer kleinen Mandarine. „Möglicherweise handelt es sich auch nur noch um Narbengewebe“, mutmaßt Jäger. Unter Nebenwirkungen litt Kessesidis kaum: „Etwas Durchfall hatte ich am Anfang und meine Schuppenflechte wurde schlimmer.“ Jäger ist stolz auf diesen Therapieerfolg, warnt aber gleichzeitig vor zu übertriebenen Erwartungen: „Nicht bei allen Patienten spricht die Behandlung so gut an. Bei manchen Betroffenen wirkt sie gar nicht.“
Kessesidis hält seine Krankengeschichte für eine Erfolgsstory und erzählt sie, „um anderen Menschen Mut zu machen, die sich in ähnlich ausweglosen Situationen befinden, wie ich noch vor kurzer Zeit“.
30.01.2015









