Prostata radiologisch
„Wir brauchen mehr Feedback“
What you see is what you get – leider stimmt das in der onkologischen Bildgebung nicht immer, wie sich später im pathologischen Befund herausstellt. Doch woran liegt es, wenn beispielsweise etwas in der Bildgebung auffällig aussieht und später doch kein Tumor ist? Und warum hat man etwas übersehen, das sich später doch als Krebs herausstellt? Damit die Radiologie ihre diagnostische Genauigkeit verbessern kann, sind die Erkenntnisse aus der Pathologie extrem wichtig. Auf dem RöKo 2015 treten beide Disziplinen daher in einen engeren Dialog.
Report: Karoline Laarmann


Einen Themenschwerpunkt des fächerübergreifenden Austausches bildet die Diagnostik des Prostatakarzinoms. Einer der führenden bildgebenden Experten auf diesem Gebiet ist Priv.-Doz. Dr. Matthias C. Röthke, Leitender Oberarzt in der Abteilung Radiologie am Deutschen Krebsforschungszentrum (DKFZ) in Heidelberg.
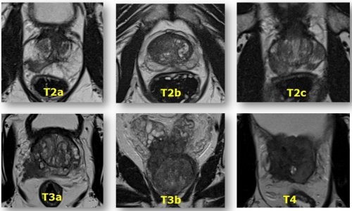
Als derzeit führendes Verfahren, um die Prostata darzustellen, gilt die multiparametrische MRT. Dabei werden morphologische Bilddaten um funktionelle Parameter ergänzt. „Funktionell bedeutet in diesem Fall zunächst einmal das Diffusionsverhalten im Gewebe“, erklärt Dr. Röthke. „Tumoren zeichnen sich durch eine hohe Zellteilungsrate aus. Wenn man sie unter dem Mikroskop betrachtet, sieht man, dass das Gewebe aus vielen großen Zellkernen und wenig Zytoplasma besteht. Dementsprechend misst man bei der diffusionsgewichteten MRT, dass sich die Wassermoleküle in diesem Gewebe weniger frei bewegen können.“ Ein weiteres funktionelles Kriterium, das mithilfe von Kontrastmitteldynamiken untersucht wird, ist das Perfusionsverhalten. Denn auch die Durchblutungsmuster von Tumoren unterscheiden sich von denen in gesundem Gewebe.
Nimmt man alle zur Verfügung stehenden radiologischen Messmethoden zusammen, dann ergibt sich eine Sensitivität um 90 Prozent. „Die diagnostische Genauigkeit ist natürlich auch untersucherabhängig“, räumt der Heidelberger Radiologe ein. „Wenn das ein Experte macht, liegt die Rate höher als bei einem unerfahrenen Befunder. Leider gibt es noch keine zertifizierten Radiologen, die eine Weiterbildung für den Bereich der Prostatabildgebung vorweisen können, wie es etwa bei der Mammographie der Fall ist. Die wird in letzter Zeit zunehmend von den überweisenden Urologen gefordert, die sich einen zuverlässigen Qualitätsstandard hinsichtlich Durchführung und Befundung der Prostata-MRT des Radiologen wünschen.“
Dabei hält Dr. Röthke ähnliche Organisationsstrukturen wie beim Brustkrebs für dringend notwendig. Das fängt bereits bei der Biopsie an. Die Prostata ist das einzige Organ, in dem Gewebeproben in der Primärdiagnostik nach dem Zufallsprinzip – unter Zuhilfenahme eines orientierenden transrektalen Ultraschalls – entnommen werden. In allen anderen Organen wird heutzutage gezielt bildgesteuert in eine suspekte Läsion gestochen. „Zumindest bei Patienten, bei denen die primäre ultraschallgesteuerte zehn- oder zwölffache Stanzbiopsie negativ war, der PSA-Wert aber weiter steigt, sollte eine Prostata-MRT durchgeführt werden, damit anschließend ein möglicher Krankheitsherd gezielt re-biopsiert werden kann“, wünscht sich Röthke.
Seine Forderungen gehen aber noch weiter: „Das, was wir beim Prostatakrebs brauchen, sind interdisziplinäre Fallkonferenzen wie wir sie bei der Brustkrebsdiagnostik kennen. Dann hätten wir Qualitätszirkel, in denen Radiologen, Urologen, Strahlentherapeuten und Pathologen ihr Wissen auf einen gemeinsamen Stand bringen können. Solche Feedbackgespräche finden heute in der Regel zwischendurch auf informeller Ebene statt, wenn es gerade während der klinischen Routine passt. Aber wir brauchen einen offiziellen Rahmen, damit sich auch bei der Bildgebung des Prostatakrebses eine flächendeckende und kompetente Versorgung durchsetzen kann.“
Veranstaltungshinweis
Raum Donner
Mi, 13.05., 13:55 - 14:05 Uhr
Prostata Radiologie
Röthke M / Heidelberg
Refresherkurs: Pathologie und Radiologie im Dialog
PROFIL
Priv.-Doz. Dr. med. Dipl.-Kfm. Matthias C. Röthke ist Leitender Oberarzt und hauptverantwortlich für den Bereich Urogenitale Bildgebung innerhalb der radiologischen Abteilung am Deutschen Krebsforschungszentrum (DKFZ) in Heidelberg. Er studierte Medizin in Erlangen und Freiburg und absolvierte seine Ausbildung zum Facharzt Diagnostische Radiologie am Universitätsklinikum Tübingen. 2010 wechselte er als Oberarzt an das DKFZ. Der Radiologe ist neben der Mitgliedschaft in der AG Uroradiolgie und Urogenitaldiagnostik in der DRG auch Mitglied der Arbeitsgruppe Prostata-Bildgebung in der European Society of Urogenital Radiology (ESUR).
13.05.2015









