News • Soft tissue ablation
Adapting eye-laser technology to remove cancer
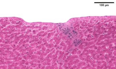
Scientists have shown that a type of laser similar to the one currently used in routine eye surgery could one day help surgeons remove unwanted tissues, such as tumours, with unprecedented accuracy.








































