MRT der Gefäßwand beeinflusst Schlaganfallklassifikation
Die Halsschlagader ist Ursprung von etwa 20 Prozent aller Schlaganfälle, in rund 90 Prozent dieser Fälle liegt die Ursache in einer Ruptur einer atherosklerotischen Plaque.

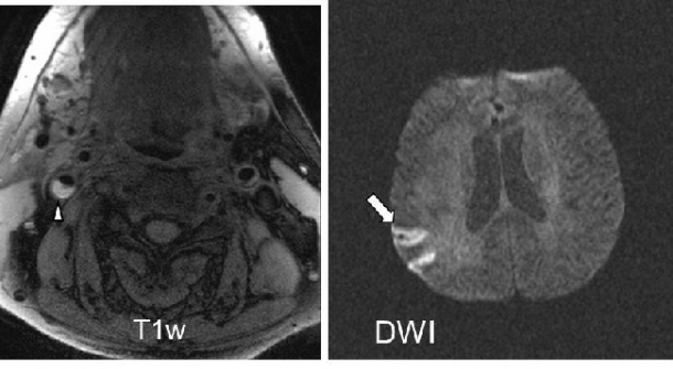
DWI-Sequenz – siehe Pfeil). Der Patient hat ein eingeblutetes und somit kompliziertes Plaque in der rechten
A. Carotis interna (siehe Pfeilspitze in der T1w Sequenz), das – obwohl es nicht stenosierend wirkt - den
Schlaganfall vermutlich ausgelöst hat.

untersucht wurde. Die Pfeile zeigen auf die Kontrastmittelaufnahme in den entzündeten Arterien, die sich unter immun-
suppressiver Therapie nach 9 Monaten vollständig zurück bildet
Verschwemmte Teile der Plaque verschließen dann ein Hirngefäß und führen zu einem Schlaganfall. Neben weiteren Anwendungsgebieten macht die MRT zur Bildgebung der Gefäßwand es jetzt möglich, Schlaganfalldiagnosen abzusichern und Prognosen zu präzisieren. Eine aktuelle Studie analysiert, welche Arten von Plaques sich wie bei Schlaganfallpatienten auswirken.
Schon seit einiger Zeit nutzt man nicht-invasive Methoden wie den Ultraschall, die CT und die MRT im Kontext der Gefäßdiagnostik, um das Lumen von Arterien darzustellen und so Stenosen und Aneurysmen zu identifizieren, resümiert PD Dr. Tobias Saam vom Institut für Klinische Radiologie am Klinikum der Universität München. Allerdings treten Veränderungen des Lumens von Arterien erst im Spätstadium der Erkrankung auf. „Mit neuen Methoden lässt sich nun die Wand der Gefäße darstellen. So wird es möglich, in einem früheren Stadium Wandverdickungen festzustellen, die mit der Atherosklerose oder entzündlichen Gefäßwanderkrankungen einhergehen“, berichtet Saam.
Einsatzgebiete der Gefäßwandvisualisierung
Die Vielzahl der Anwendungen etwa in der Aorta, den Halsschlagadern und den intrakraniellen Gefäßen schließt auch Fragestellungen aus der Forschung mit ein. „Am besten sind für die MRT die Halsschlagadern erreichbar“, erläutert Dr. Saam, „sie liegen nah an der Oberfläche und ermöglichen somit unter Verwendung von speziellen Spulen eine hohe Auflösung.“ Klinische Indikationen sind beispielsweise Dissektionen der Halsgefäße. Schon seit längerer Zeit führt man T1-gewichtete Sequenzen mit Fettsättigung zur Darstellung von Wandhämatomen durch. Bei Verdacht auf eine Vaskulitis findet die Methode vermehrt bei intrakraniellen Gefäßen Anwendung.
Bei einer dreistelligen Zahl von Patienten pro Jahr kann die Methode beispielsweise im Münchner Universitätsklinikum als notwendige Differenzialdiagnose der Vaskulitis dienen, für die man Black-Blood-Sequenzen verwendet – auch als Alternative zur mit Strahlen belasteten PET-CT. Dissektionen werden am Klinikum circa 40- bis 50-mal pro Jahr diagnostiziert, auch hier bewegt sich der Bedarf an Differenzialdiagnosen in einer dreistelligen Höhe. Schlaganfälle bilden bei einer Häufigkeit von mehr als 200.000 Fällen jährlich in Deutschland potenziell den zahlenmäßig höchsten Diagnosebedarf.
Studie zur Rolle atherosklerotischer Plaques
Schlaganfallpatienten stehen im Mittelpunkt der multizentrischen Studie „Carotid Plaque Imaging in Acute Stroke (CAPIAS)“. „Hier stellen wir an Patienten mit einer Stenose unter 70 Prozent fest, ob atherosklerotische Plaques vorliegen und wie diese geartet sind“, beschreibt Saam den Ansatz der Studie mit rund 300 Patienten.
Verkalkte Plaques betrachtet man dabei als eher stabil. Ein hohes Risiko für das Auslösen eines Schlaganfalls stellen komplizierte Plaques dar – Plaques mit großem Fettkern mit einer Einblutung, einem Thrombus oder einer Ruptur der fibrösen Kappe. Bei Schlaganfallpatienten mit einer Stenose von mehr als 60 Prozent entscheidet man sich heute typischerweise für eine interventionelle Therapie. Dieser Eingriff – eine Stenteinlage beziehungsweise eine Karotisendarteriektomie, eine Plaque-Ausschälung – bringt wiederum ein 3- bis 6-prozentiges Schlaganfallrisiko mit sich, da sich Plaquematerial ablösen und zu einem Gefäßverschluss führen kann. Die Entscheidung gegen einen Eingriff erhöht das Schlaganfallrisiko um etwa ein Risiko pro Jahr. Tendenziell ersetzt man heute bei asymptomatischen Patienten Eingriffe durch medikamentöse Therapien, beispielsweise auf Basis von Statinen und blutverdünnenden Mitteln.
Statt eine Entscheidung zum Eingriff vom Grad der Stenose abhängig zu machen, ist – so die Hypothese – die Feststellung der Art der Plaque ein besserer Indikator für die Notwendigkeit einer Operation. Denn die meisten Schlaganfälle werden durch Plaquerupturen und nicht durch Stenosen ausgelöst, auch dadurch bedingt, dass das Gehirn über ausgeprägte Kollateralkreisläufe verfügt und somit eine hochgradige Stenose eines der vier hirnversorgenden Gefäße nicht zwangsläufig zu einem Schlaganfall führen muss.
„In der Studie analysieren wir – gemeinsam mit Neurologen – wie sich die Plaques der Schlaganfallpatienten entwickeln und welche Plaque-Eigenschaften einen Eingriff erforderlich machen“, so Saam, der die Studie zusammen mit Prof. Martin Dichgans, Direktor des Instituts für Schlaganfall- und Demenzforschung, leitet. Die Untersuchungen beinhalten Schädel-MRT, transthorakale und/oder transösophageale Echokardiographie, Labor, klinische Untersuchung sowie hochaufgelöstes Black-Blood-MRT der Karotiden mit speziellen Oberflächenspulen sowie Follow-ups, unter anderem nach zwölf Monaten eine klinische Untersuchung, eine Schädel-MRT sowie eine MRT der Karotiden.
Die Studie soll Erkenntnisse zur Pathophysiologie der Schlaganfallentstehung liefern sowie Informationen darüber, ob bestimmte Plaques ein höheres Risiko für einen Schlaganfallrezidiv mit sich bringen. „Die Studie könnte die Schlaganfallklassifikation beeinflussen und eine Basis für die Planung gezielter Interventionsstudien liefern“, so Tobias Saam. Erste Ergebnisse wurden unter anderem beim „MR Angio Club 2012“ präsentiert.
Auch zum Therapiemonitoring geeignet
Die MRT kommt ferner zur Kontrolle der medikamentösen Therapie zum Einsatz – derzeit vor allem im wissenschaftlichen Kontext. Sie zeigt, ob sich die Medikamente auf die Gefäßwand stabilisierend und verkleinernd auswirken.
Die Hybridbildgebung liefert zusätzliche diagnostische Informationen; so nutzt man das MR/PET für eine CAPIAS-Subgruppe im Klinikum rechts der Isar. Auf diese Weise lässt sich feststellen, ob atherosklerotische Plaques entzündet sind. Die zugrunde liegende Hypothese dieser Substudie ist, dass Entzündungen zu einem höheren Schlaganfallrisiko führen.
Im Profil:
PD Dr. Tobias Saam studierte Medizin an der Ruprecht-Karls-Universität in Heidelberg. Als Senior Research Fellow und später als Leiter der Forschungsgruppe „Imaging Science“ arbeitete er an der University of Washington, Seattle, USA. Seit 2006 ist Dr. Saam am Institut für Klinische Radiologie der Ludwig-Maximilians-Universität (LMU) München tätig, seit 2011 als Oberarzt. Für seine Arbeiten zum Einsatz der MRT bei atherosklerotischen Plaques erhielt er mehrere Auszeichnungen. Er ist Mitgründer der Arbeitsgruppe „Plaque Imaging“ an der LMU und leitet sie seit 2010.
23.01.2015



